甲状腺未分化癌(ATC)是甲状腺癌中恶性程度最高的亚型,中位生存期仅3-5个月。北京中西医结合医院耳鼻咽喉头颈外科近期成功救治一例71岁晚期ATC患者李先生,通过多学科协作和精准治疗方案,实现肿瘤显著退缩及气道功能恢复,为这类“癌中之王”的治疗提供新范例。
生死时速:团队协作破解气道危机
两个月前,李先生因肿瘤侵犯气管导致重度呼吸困难入院。经耳鼻咽喉头颈外科主任赵龙珠评估决定,与杨立强、郭娜两位主治医师一起紧急为患者实施低位气管切开术,成功建立生命通道,为后续的治疗争取了宝贵的时间。
靶向+免疫:双剑合璧精准打击
术后病理显示为BRAF V600E突变型ATC,PD-L1高表达(CPS评分≥90),为甲状腺未分化癌。基于基因检测结果,赵龙珠主任团队联合肿瘤科专家制定个性化治疗方案:采用达拉非尼联合曲美替尼靶向治疗,同时联合免疫治疗,这种治疗策略同时针对了肿瘤生长的驱动基因和患者自身的免疫系统,实现了双重打击。
生命重启:从姑息治疗到功能恢复
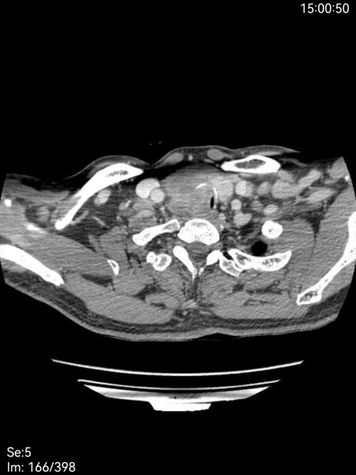
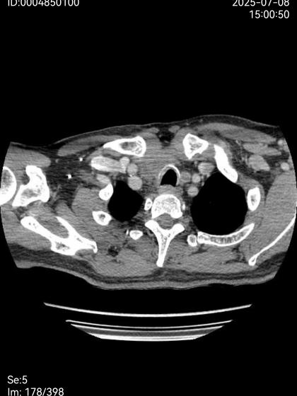
经过两个月的规范治疗,9月5日患者复查时,影像学检查显示肿瘤体明显,电子鼻咽喉镜证实气道通畅,赵龙珠主任团队为其拔除气管套管并封闭造瘘口,患者恢复自主呼吸。
李先生激动地说:“2个月前我还以为自己没有希望了,现在我却能期待着未来的每一天!”
目前,李先生仍在接受治疗,但生活质量已得到极大改善。他的故事不仅是个人的生命奇迹,更是精准医疗时代的缩影,为无数晚期癌症患者带来了希望和勇气。
医学进步:精准医疗改变癌症治疗格局
专家介绍,甲状腺未分化癌虽然恶性程度高,但随着分子生物学的发展,越来越多的驱动基因被发现,相应的靶向药物也不断问世。针对BRAF V600E突变的靶向治疗已非常成熟。同时,免疫检查点抑制剂对于PD-L1高表达的患者效果显著,能够“解除”肿瘤对免疫细胞的“屏蔽”,让患者自身的免疫系统重新识别和攻击癌细胞。
中医辩证施治同样疗效显著。甲状腺癌患者病机多以气滞、痰凝、血瘀等实证为主,病理性质总属气滞、痰凝、血瘀三者互结,治疗原则以“消散”为主,结合辨证采用疏肝理气、化痰散结、活血化瘀等法,以期缩小瘤体、控制发展。
“这个案例印证了精准医疗的临床价值”,赵龙珠主任表示:“通过基因检测筛选治疗靶点,结合中西医优势制定个体化方案,李先生的成功案例为我们治疗这类高度恶性肿瘤积累了宝贵经验,这也彻底改变了晚期癌症的治疗格局。”
北京中西医结合医院耳鼻咽喉头颈外科将继续开展ATC精准治疗临床研究,为更多患者带来生机。





治疗前


治疗后