您是否也曾因体检报告上的“肺结节”而夜不能寐?是否也曾被告知“定期观察”,却始终悬着一颗心?
其实,结节不等于肺癌。但高危结节若放任不管,恶性风险不容忽视。鼓楼中医医院结节专病门诊通过现代医学精准评估+中医整体调理,以“益气活血、化痰散结”之法,从根源改善体质,阻断结节进展。
一、破“结”重生 重拾生活信心
49岁的患者李女士,2023年1月体检发现右肺中叶有一处10mm的磨玻璃结节(GGO),影像提示“AIS可能”(原位癌不排除)。她辗转多家医院,均被告知“定期观察”,但内心始终焦虑不安。后经人介绍,于7月来到鼓楼中医医院结节专病门诊就诊。

患者首次于2023-01-13外院肺CT影像图(3im29)
韩丹阳医生结合患者舌苔、脉象及体质辨识,辨证为“气滞血瘀证”,属中医“积聚类病”范畴。在继续遵循西医影像随访的基础上,韩医生为其开具了益气活血、化痰散结的中药复方,嘱咐她煎煮服用。

坚持治疗9个月后复查CT,李女士原右肺结节直径缩小至5mm,密度明显减低;继续坚持中药调理1年后,2025年4月最新复查显示结节进一步稳定缩小,未见新发病灶。同时咳嗽、气短等症状也基本消失,精神状态明显改善。她送来锦旗感慨道:“没想到中药真的能让结节变小,我现在终于能睡个安稳觉了。”

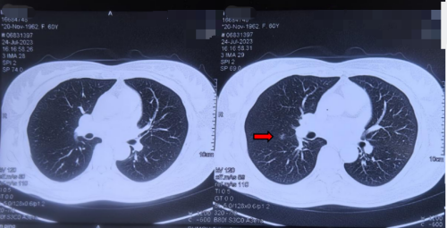
患者于2023-07-24外院定期复查肺CT影像图(3im29)

患者服中药9个月后于2024-04-23外院复查肺CT影像图(3im29)
二、肺结节≠肺癌,干预良机在此
肺结节是影像学上直径≤3cm的局灶性阴影,并非所有结节都是恶性。但对于部分具有高危特征(如磨玻璃影、实性成分增多、边缘毛刺等)的结节,若不加以干预,5年内恶性转化风险可达20%–40%。
中医认为,结节多由“气滞、血瘀、痰凝”互结而成。正如《金匮要略》所言:“血不利则为水”,气血不畅则津液凝聚成痰,久而形成结节。因此,治疗上当以益气活血、化痰散结为法,调节人体内环境,阻断结节进展。
面对肺结节,我们既不能过度恐慌,也不能麻痹大意。关键在于把握干预良机,采取科学有效的防治措施。
对于初次发现肺结节的患者,不要惊慌失措,应及时到正规医院就诊,进行进一步的检查和评估。医生会根据结节的大小、形态、密度、边缘特征等,结合患者的年龄、性别、吸烟史、家族史等因素,综合判断结节的良恶性风险。
对于低危结节,一般建议定期随访观察,通过胸部CT等检查手段,动态监测结节的变化情况。如果结节在随访过程中没有明显变化,可以继续观察;如果结节出现增大、实性成分增多、边缘毛刺等变化,则需要及时进行进一步的检查和治疗。
对于具有高危特征的结节,应尽早进行干预治疗。除了西医的手术、穿刺活检等治疗方法外,中医治疗也可以作为一种重要的辅助治疗手段。中医治疗肺结节具有独特的优势,它不仅可以改善患者的临床症状,提高生活质量,还可以调节人体内环境,增强机体的免疫力,降低结节的恶性转化风险。而且,中医治疗副作用小,适合长期服用,对于一些不适合手术或不愿意接受手术治疗的患者来说,是一种理想的选择。
医生介绍
韩丹阳 主治医师,肿瘤及安宁疗护病区副主任
擅长治疗
· 肺癌、乳腺癌、消化道肿瘤的中西医整合治疗;
· 放化疗毒副反应及癌因性疲乏、疼痛等症状控制;
· 肺结节、乳腺结节、甲状腺结节的中药干预与防癌管理;
· 常见内科病如高血压、心悸、情志病、慢性胃炎、月经不调等调理。
出诊时间
· 每周五下午:结节专病门诊(南院区)