在北京中西医结合医院肿瘤科的病房里,88岁的陈爷爷(化名)安静地坐着,窗外的阳光落在他身上。他缓缓吸了一口气,又平稳地呼出——这个对常人再简单不过的动作,在一个月前,曾是他每天最艰难的挣扎。
“年纪大了,不想再折腾了”
今年6月,陈爷爷因准备做个小手术,意外查出肺部占位,伴随多处转移。诊断像一块沉重的石头压在家人心上。“肺癌晚期,多处转移,还有心脏病、房颤……”家人拿着诊断书,沉默了。想到老人年近九旬,身体底子差,家人最初不愿再做穿刺、化疗:“不想让他再受罪了。”
然而,病情不等人。陈爷爷的咳嗽、喘憋越来越重,甚至连平躺都成了奢侈,每次呼吸都伴着沉重的拉风箱声。家人带着最后一丝希望,将他送到了北京中西医结合医院肿瘤科。
转折:从胸水里找到的“钥匙”
入院时,陈爷爷的左肺几乎听不到呼吸音——大量胸腔积液和肿瘤占位,让他的肺无法正常工作。单纯的抗感染、化痰治疗效果有限。喘憋,是肿瘤实实在在的压迫,不是仅仅“缓解症状”就能解决的。
“如果不针对肿瘤本身,呼吸只会越来越困难。”吴晓芳副主任医师带着主管医生李玉潇医师耐心地和家属沟通,“我们可以先通过引流胸水缓解症状,同时用胸水做病理检查,万一有使用靶向药的机会呢?”
抱着试一试的心态,家人同意了胸腔穿刺。当胸水病理结果出来——“肺腺癌”三个字,反而带来了一线光亮:腺癌,常常能找到基因突变的靶点。
治疗团队再次劝说:“送个基因检测吧,万一有适合的靶向药,吃药就能控制,老人不受罪。”有了上一次的信任,这一次,家人同样点了头。
等待结果的日子有些忐忑。当基因检测报告明确显示“EGFR L858R突变”时,整个团队都松了一口气——有“钥匙”了!
服药后,他第一次睡了个整觉
经过科室慎重讨论,邓海燕主任为陈爷爷选定了第三代EGFR-TKI靶向药。9月17日,陈爷爷吃下了第一颗药。
变化,在悄无声息中发生。服药几天后,家人惊喜地发现:“老爷子晚上能平躺着睡一会儿了!”喘憋声一天天减轻,胸水不再增长,精神头也慢慢回来了。他能自己坐起来吃饭了,话也比以前多了。
“这个药好,吃了身上有劲。”陈爷爷这样说。

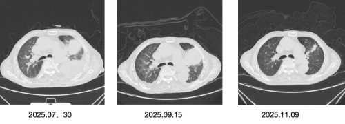
一个半月后复查,CT片子上的变化让所有人欣慰:肺部的阴影明显缩小了。肿瘤标志物的指标也一路下降。靶向药,像一枚精准的导弹,在他体内起到了关键作用。

中药相伴,温柔护航
治疗并非一帆风顺。服药后,陈爷爷膝盖周围出现了些红色皮疹,这是药物起效常见的“幸福的小烦恼”。

肺腺癌EGFR-TKI靶向药导致的皮疹副作用,原因在于药物对于表皮生长因子EGFR的误伤,这个因子所代表的通路在肿瘤中大量表达,抑制它可以直接抑制肿瘤生长。但是这个因子也在我们的正常皮肤代谢中非常重要,所以这类药物无法避免的会导致一些皮肤问题,皮疹、瘙痒、干燥、甚至皮肤局部炎症都是常见表现。但另一方面,这种皮疹的出现,恰恰说明药物在体内的累计已经达到有效浓度,间接证明了它正在有效攻击肿瘤细胞,所以肿瘤科医师都说这种皮疹的出现其实是肿瘤病人的一种“幸福小烦恼”,极大概率是药物有效的外在佐证。
面对这种情况,肿瘤科第一时间请皮肤科会诊处理,同时,中医团队也及时更改治疗方案。
“之前老人家气虚痰瘀,我们以六君子汤为主,帮他健脾补气,把身体底子托住”,吴晓芳副主任医师解释道,“出现皮疹后,辨证属于血虚风燥,我们换了思路,用消风散加减,养血润燥,清热祛风。”
除了内服汤药,科室还为他安排了穴位贴敷、中药膏摩、针灸等外治手法,温和地缓解他的咳嗽和不适。
呼吸重新变得轻盈
如今,陈爷爷的呼吸平稳了,咳嗽少了,脸上也有了笑意。家人最感慨的是:“没想到,没开刀没化疗,就吃了药,配合中医调理,效果这么好。老爷子少受了很多罪。”
从几乎无法平卧,到能安稳睡眠;从喘憋难言,到自如呼吸——这场为呼吸而战的治疗,背后是现代精准医学的果断一击,是中医传承千年的整体护航,更是医患之间基于信任的共同决策。
面对高龄、病情复杂的晚期肿瘤患者,治疗的目标不仅是控制肿瘤,更是守护生活的质量与尊严。这条路,北京中西医结合医院肿瘤科愿以更多的耐心、更精准的方案、更温暖的陪伴,与患者和家属一起走下去。