近日,北京市丰台中西医结合医院血管外科团队成功为一名高龄颈动脉重度狭窄患者实施介入手术,术后患者脑部供血显著改善,已平稳康复出院。此次颈动脉支架成功置入,标志着医院在脑血管疾病微创介入诊疗领域的又一重要突破,为区域老年高危卒中患者增添了坚实的救治保障。

患者为79岁女性,因反复头晕、视物模糊前来就诊。患者既往合并高血压、动脉硬化等基础疾病,属于脑卒中高危人群。入院后,经颈动脉CTA检查,确诊为左侧颈动脉重度狭窄。此病症极易引发脑梗死,导致偏瘫、失语,甚至危及生命。
鉴于患者高龄且基础疾病较多,传统开放手术风险较高。医院迅速启动多学科协作(MDT)机制,血管外科、神经内科、麻醉科联合对患者进行全面评估,为其量身定制个体化治疗方案,最终决定在局麻下进行左颈动脉支架置入术这一微创治疗。
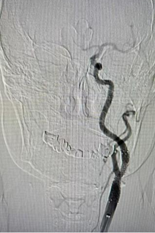
手术当日,血管外科主任汪岩及副主任医师李晓亮凭借丰富的经验与精湛的技术,经股动脉穿刺建立通道。在脑保护装置全程防护下,先使用球囊扩张狭窄部位,随后精准地将支架送至狭窄处并释放,成功撑开闭塞血管,恢复脑部血流灌注。整个手术过程仅留下微小创口,无需全麻开颈。术中,医护人员严密监测患者生命体征变化,确保手术顺利完成。术后造影显示,血管通畅,支架贴壁良好。

▲手术前

▲手术后
术后,医院充分发挥中西医结合的独特优势。在给予患者西医抗板、控压、调脂规范治疗的同时,同步开展中药益气活血、针灸康复、穴位调理等特色干预措施。多管齐下加速患者恢复,降低并发症发生风险。患者次日即可下床活动,头晕等症状明显缓解,且未出现栓塞、出血等不良事件,恢复情况良好。
颈动脉作为大脑供血的主要通道,其狭窄是导致缺血性脑卒中的重要原因之一,在老年人群中不仅高发,而且隐匿性强。颈动脉支架置入术(CAS)具有微创、局麻、恢复快、并发症少等显著优势,尤其适合高龄、手术风险高、解剖结构复杂的患者,是目前防治重度颈动脉狭窄与脑卒中的主流技术。
此次手术的成功开展,充分彰显了北京市丰台中西医结合医院在脑血管病救治、微创介入老年危重症诊疗方面的综合实力。未来,医院将持续推进神经介入与血管外科技术升级,强化多学科协同与中西医结合特色,不断完善卒中防治体系,为辖区及周边百姓提供更安全、高效、优质的医疗服务,为守护群众健康贡献力量。