近日,一名年仅11个月,9.5Kg的男婴因“发作性愣神伴恶心呕吐”辗转多地就医,最终在清华大学玉泉医院成功接受高难度颅内肿瘤切除术,顺利渡过难关,重获新生。

患儿来自新疆,3天前无明显诱因出现愣神、唇周青紫,症状反复发作,就诊于乌鲁木齐儿童医院后,检查发现颅内占位性病变,考虑为症状性癫痫,对症治疗后效果不佳,病情持续加重。为求一线生机,家人带着孩子跨越三千公里,来到我院寻求希望。
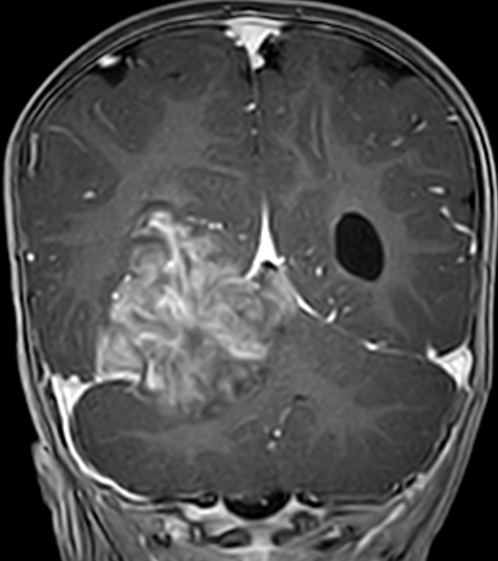
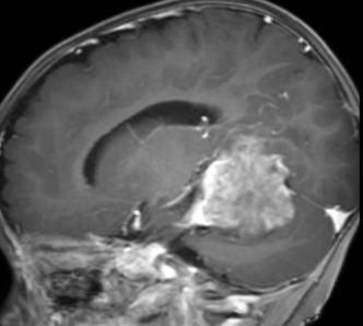
入院后,患儿头颅MRI平扫+增强提示:右侧小脑幕上下骑跨巨大肿瘤,压迫右侧丘脑、侧脑室、脑干、小脑等重要结构,考虑胚胎型肿瘤可能性大。肿瘤与周围组织无明显边界,手术难度极大、风险极高。
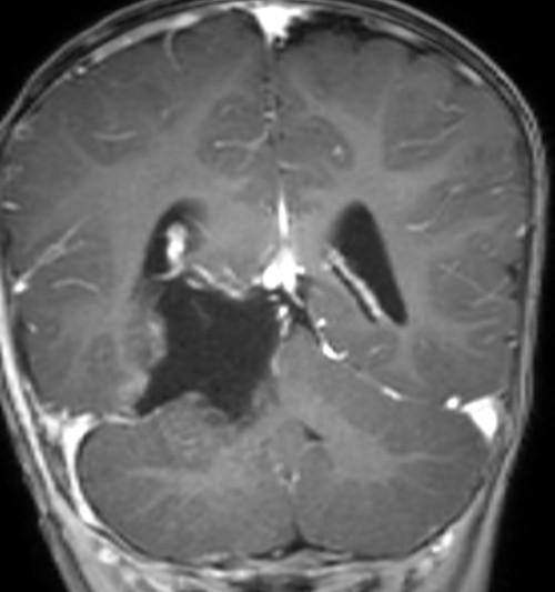
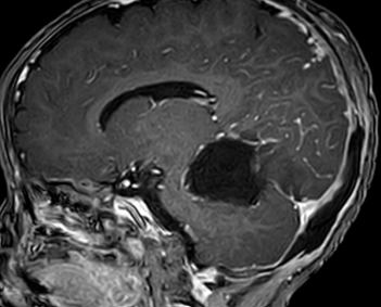
2026年3月3日,由张玉琪院长主刀,经枕下幕上入路小脑幕上、下病变切除术。手术历时4小时,镜下近全切除肿瘤,周围脑干、颅神经及血管保护良好,出血仅100ml。术后患儿转入NICU(新生儿重症监护病房),次日平稳返回普通病房。病理确诊为胚胎性肿瘤,WHO Ⅳ级(世界卫生组织(WHO)根据肿瘤恶性程度划分的最高级别(IV级)的恶性肿瘤)。术后虽康复情况充满挑战,但由医护团队通过中西医结合治疗后顺利恢复健康,并于术后第17天顺利启动第一周期化疗。

脑肿瘤术前1

脑肿瘤术后1

脑肿瘤术前2

脑肿瘤术后2

如今,患儿精神状态良好,恢复情况平稳顺利。从三千公里外的求助,到手术台上的奋力一搏,这个小小生命在我院医护团队的全力守护下,闯过了一道又一道难关。每一个被守护的童年,都是我们前行的意义所在。