日常吃枣不慎吞下一颗枣核,多数人或许不以为意,殊不知这枚小小的硬物,竟能刺破食管,引发严重感染,形成颈深部脓肿,甚至危及生命。
近日,北京中西医结合医院耳鼻咽喉头颈外科接诊了一位病情危急的患者。据家属介绍,患者此前在食用红枣时,不慎将枣核一并咽下,并于当地医院经胃镜取出。然而,短短数日内,危险迅速袭来,患者逐渐出现颈部肿胀、吞咽困难等症状,因不能进食,所以连平日控制血糖的胰岛素也未再注射,病情快速恶化,最后连水都难以咽下。
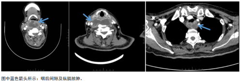
送至医院时,患者情况已十分危急,经检查确诊为咽后间隙脓肿伴纵隔脓肿形成,炎症紧邻气道及颈部大血管,随时可能引发气道梗阻、脓毒血症、大出血等致命并发症。急查相关检验指标,患者血糖已高达31mmol/L,并发严重的酮症酸中毒。



医院多学科协作,各个环节紧密相连,一路绿通:放射科完善颈、胸部增强CT联扫,精准评估了病变范围;肾病内分泌科指导降糖、消酮用药方案;在麻醉手术科全程保驾护航之下,耳鼻咽喉头颈外科完成颈部切开入路咽后及纵隔脓肿引流术;急诊手术后,ICU接手给予强效抗感染、纠正酸中毒等综合治疗。经过医护团队的严密监护与精细化救治,患者生命体征平稳后转回耳鼻咽喉头颈外科普通病房继续康复。
借此病例,耳鼻咽喉头颈外科医生有话要说。看似不起眼的细小异物,都可能成为“健康杀手”。枣核、鱼刺、骨头等尖锐异物,一旦误吞,极易划伤、刺破消化道黏膜,不仅可能造成局部出血、穿孔,还可能引发深部感染、脓肿、纵隔炎等严重并发症,处理不及时可危及生命。发生异物误咽后,切勿用饭团、馒头强行吞咽,也不要盲目催吐、抠喉,以免加重损伤。正确做法是立即停止进食,尽早到医院就诊检查,由专业医生及时取出异物,避免延误导致病情恶化。尤其老人、儿童进食时,应细嚼慢咽,避免边吃边说笑,从源头减少误吞风险。
颈深部解剖结构复杂、间隙繁多,一旦形成脓肿,感染极易快速扩散,且位置深、隐蔽性强,初期症状不典型,极易被忽视。而此次患者的感染源头,正是误吞的枣核——尖锐的枣核在吞咽过程中刺破食管黏膜,细菌由此侵入深层组织,引发严重的蜂窝织炎并迅速化脓,最终形成危及生命的脓肿。
如有误食异物、咽痛等不适,请及时就诊,不要大意。自己认为“忍一忍,再观察观察就好了”的心态有可能会引发更危险的后果。