


北京中医药大学房山医院脑病科卒中团队自开展静脉溶栓治疗以来,积极救治急性缺血性脑卒中患者,在降低卒中致残率,致死率方面积极发挥作用,在团队精准识别的前提下,逐步实现了对卒中患者的及时救治。
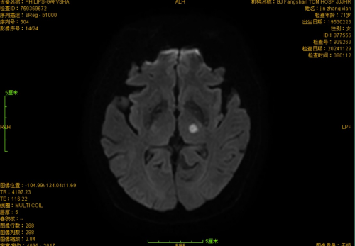
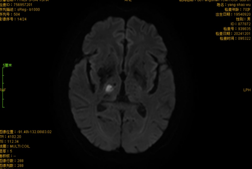
近日,一例75岁老年女性,以“右口周、右手指麻木2小时余”为主诉患者就诊于我院急诊,经卒中团队评估,考虑“丘脑梗死”,存在出现“丘脑共济失调综合症”风险,重者可致轻偏瘫,综合考虑,建议患者静脉溶栓治疗,经急诊-脑病卒中绿道联合救治,患者溶栓后右口周、右手指麻木症状消失,经住院治疗7天痊愈出院。
该类患者基本上均以口周、手足麻木起病,后续病情进展可出现偏侧共济失调和轻瘫。影像学结果均提示:丘脑新发脑梗死;既往一般认为,丘脑梗死多对患者感觉系统影响较大,未见波及共济及肌力的患者。卒中团队发现确实有文献报道丘脑腹外侧梗死所致“手口综合症”“手口足综合症”、“丘脑共济失调综合症”、“丘脑共济失调轻偏瘫”等,可能与其损伤小脑环路有关,主要责任血管归属于大脑后动脉P2段,属于后循环梗死的一种,存在致残风险;学习讨论后我们得出对仅表现为手足麻木的患者,尤其伴口周麻木者,如排除其他疾病,考虑急性脑梗死,无禁忌症应建议积极溶栓治疗、防止卒中进展致残的结论,这才有了此次救治成功的病例。
脑病科卒中团队致力于指南指导下的早期溶栓治疗,以期降低卒中致残率、致死率,在临床实操过程中,我们精益求精,不断学习,完善卒中早期识别,早期干预,为脑卒中患者打造高效生命救援通道,为广大患者的脑病健康保驾护航。
小贴士:缺血性卒中(脑梗死)的非典型症状是指缺乏传统“FAST”(面部下垂、肢体无力、言语不清)表现的神经功能缺损,容易被漏诊或误诊,尤其在特殊人群中需格外警惕。常见非典型症状包括:
1.后循环缺血特征
眩晕与平衡障碍:突发眩晕、行走不稳、恶心呕吐
复视或视力异常:双眼复视、视野缺损、或短暂失明。
构音障碍与吞咽困难:发音不清、饮水呛咳。
2.认知与行为异常
急性意识模糊:定向力障碍(如不识家人)、记忆突然丧失,甚至淡漠或躁动。
精神症状:无明确肢体瘫痪,但表现为反应迟钝、沉默寡言或情绪波动。
3.感觉异常为主
单侧面部或肢体麻木、刺痛,或“蚁走感”。糖尿病患者可能因神经病变掩盖典型麻木,仅表现为疲劳或意识改变。
温馨提示:缺血性卒中症状复杂多变,若出现上述任一症状,即使轻微或短暂,也应立即就医,牢记溶栓黄金时间为:发病后4.5小时内,疑似卒中快拨打120,卒中急救,分秒必争!。